| |
|
 |
|

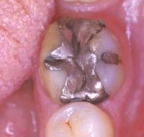
Last time increased air pollution in Europe from crematoria. Other sources make less air pollution of this metal because of various equipment. “Part emission from crematoria is year after year bigger. It is made by increased number of cremation in comparison with classic burials and by higher average age survival of Europeans – it brings more teeth amalgam and hearth stimulator,” said news of ministry of environment.
By estimates of cited author of news – Marta Černá – have Europeans in teeth fillet circa 2000 tons of mercury. It means potentially source of pollution for next years. For example – by closing old European working electrolysis of NaCl, which are thought of the bigger reservoir risk mercury, will needed destroy 10 000 to 20 000 tons of this metal.
General emission of mercury in air in Europe in contrast by other continents decreased. By information of OSN from last year is in last decade of 20th century decreased concentration of mercury in air on old continent about 60 percent, and thanks to better technologies of coal plant, garbage plant, iron-mills and cement mills. In contrast from big source of pollution like plants – wasn’t emission from crematoria watched. Between states with the biggest rate of emission of mercury in Europe by opinion of European economy commission OSN belong Poland, Spain, Germany, Italy and Romania.
Mercury saves self in live organisms, its concentration in food have increase tendency. Statistic of European environment agency registered by Černá dangerous trends in increased part of mercury in European food products: fishes, vegetables and fruit. Consequently increases average income of mercury per year of citizen of Europa, said news.
Mercury and all of its composition are very toxic, especially have negative effect on nerve system. The strongest risk for people is methyl-mercury, which can make non-reversible changes in brain or cardiovascular system. Especially dangerous is for gravid woman, newborns and small children. The biggest risk is for peoples, who eat often sea fishes. Acute spam by mercury made failure of seeing and feeling, situation of de-orientation, deep forgetting and nerves.
Because of new discovery about risk of mercury make international organization more hard acceptable value of weekly income of mercury on the half. Between general reference, which are for people obligatorily – don’t eat predators of fishes and changes kind of fishes in bill of fare.
Nick: JirkaPraha,
24.8.2009 13:24:16
Příspěvek zatím nebyl komentován, můžeš být první.
Japan company Oriental produce machine, that changes used paper into toilet direct on work place. It cuts, mashes, mix with water 40 pages of redundant paper A4, this mixture will be dried and...
Interest
7.4.2010 08:46:41 |
Nick: JirkaPraha
Seventy five year old Japanese Shigeo Tokuda is interested in activity, we would not expect from a man his age at all. The oldest porn actor on the world was getting ready in his silky smooth kimono...
Interest
3.1.2010 10:15:59 |
Nick: JirkaPraha
American has gone into jail after convict him video. 10th November 2009 Roddel Vereen was found guilty after judgement has seen video with American, who does anal sex with horse called...
Interest
23.11.2009 11:24:23 |
Nick: JirkaPraha
High winds over the weekend supplied 53% of Spain's electricity – equivalent to the power output of 11 nuclear plants.
Wind energy provided more than half of Spain's total electricity needs for...
Interest
12.11.2009 11:34:17 |
Nick: JirkaPraha
Long time guardians have circumstance that American prisoner George Vera (25) have about a gun. In his cell they cannot find it anyway. Finally watchmen in Houston, in Texas caught him with pistol in...
Interest
24.8.2009 13:27:42 |
Nick: JirkaPraha
Last time increased air pollution in Europe from crematoria. Other sources make less air pollution of this metal because of various equipment. “Part emission from crematoria is year after year...
Interest
24.8.2009 13:24:16 |
Nick: JirkaPraha
The Crown Prosecution Service spent £20,000 on the trial of a man accused – and later acquitted – of stealing a 25p banana, it has emerged.
James Gallagher, 23, was found not guilty this week...
Interest
9.8.2009 10:28:20 |
Nick: JirkaPraha
TOLEDO, Ohio — Residents of Toledo, Ohio, are complaining that they received $25 tickets for parking their vehicles in their own driveways.
Mayor Carty Finkbeiner says he stands by the citations...
Interest
22.6.2009 13:58:06 |
Nick: JirkaPraha
|
|